Symptoms of cancer in foliate papillae. On average you will have from ten to fourteen of this type of papillae.
Hard foliate papillae on back of tongue.
Foliate papillae cancer symptoms. Cancer can present as a lump growth often painlessand general symptoms of weakness weight loss loss of appetite and sometimes prolnged fever lasti. Send thanks to the doctor. Doctors in 147 specialties are here to answer your questions or offer you advice prescriptions and more.
Signs but few symptoms Black hairy tongue Elongation of the filliform papillae and colonization of the tongue by pigment-producing bacteria can produce a dramatic discoloration varying between brown to intense black see figure 2. What Are Those Bumps on Your Tongue. Filiform Filiform papillae do not contain taste buds.
They are located mostly on the centre and back of the tongue and are sparse on the sides. Fungiform There are 200 to 400 fungiform papillae on the tongue making them the most common type of papillae. Enlarged papillae appear as little white or red bumps that occur when the papillae become irritated and slightly swollen.
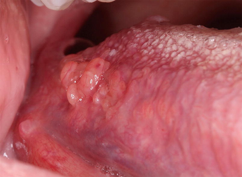
This condition is also known as lie bumps or transient lingual papillitis. This swelling might occur from the normal exfoliation of papillae cells. Inflamed foliate papillae on right side of tongue with an ulcer like hole in between for 3 weeks.
Now having a sore throat too. Doesnt smoke or drink. Arnold Malerman answered 53 years experience Orthodontics Evaluate.
If any oral lesion persists beyond 10-14 days immediate evaluation is required. Is a enlarged foliate papillae a sign of oral cancer Download Here Free HealthCareMagic App to Ask a Doctor All the information content and live chat provided on the site is intended to be for informational purposes only and not a substitute for professional or medical advice. Symptoms of enlarged papillae are very easy to note.
They include irritation and pain. The presence of white reddish bumps on the tongue is also a symptom. Most patients also tend to feel a burning or tingling sensation on the tongue.
Swelling on right side of tongue - As mentioned above it wasnt painful at first. The swelling itself isnt painful at. Persistant sore throat -.
I have had a mildminor sore throat for the past 5 weeks. Its gotten a bit worse the past. Mouth pain in general - this includes my.
On average you will have from ten to fourteen of this type of papillae. There are no symptoms. Causes of Enlarged Papillae.
There are many different reasons that a person would have enlarged papillae which can include. Happening naturally as you get older. Excessively smoking which can cause the tongue to become irritated.
Hi there had a biopsy on my foliate papillae and it all came back ok but they seem to have got larger and more inflamed is there any chance of cancer Answered by Dr. Since the Biopsy came back negative and OK as you. Enlarged circumvallate papillae cancer Enlarged circumvallate papillae may turn into cancerous form if it grows enough to get involved with lymph nodes of that region.
These type of cancers mostly develop around the margins of tongue. Initially they look like small. Symptoms of oral cancer can include.
Red or red and white patches oral leukoplakia that appear on the lining of the mouth or the tongue sores and. Foliate papillae tonsillar tissue on the posterior lateral border of the tongue. Deepak Sundriyal Oncologist.
Symptoms of cancer in foliate papillae Hyperplastic foliate papillae cancer Cancer of the incisive papilla. Another condition that may affect your papillae including the foliate papillae is black hairy tongue. Black hairy tongue looks just like the name suggests.
Black hairy tongue occurs when the papillae are longer than usual so they catch food debris bacteria and dead skin cells. Symptoms of cancer in foliate papillae. Hard foliate papillae on back of tongue.
Foliate papillae sore on one side of tongue and earache. Enlarged foliate papillae on side of tongue is it normal. Connect by text or video with a US.
Board-certified doctor now wait time is less than 1 minute. Symptoms of cancer in foliate papillae. Enlarged foliate papillae on side of tongue is it normal.
Hard foliate papillae on back of tongue. Enlarged papillae tip of tongue. Enlarged circumvallate papillae caused by std.
Enlarged circumvallate papillae bleeding. I think it was because of the enlarged foliate papillae rubbing the back of throats when I talk and chew thus is gets more red after eating or when at night. There is an ulcer like hole in the middle of the swollen foliate papillae not sure if its because the papillae is swollen thus the hole in between or if its really an ulcer.