One way to obtain this tissue is to have doctors who specialize in imaging radiologists use a CT scan to guide a needle through the chest wall and into the lung. In a study of CT-guided needle biopsy for lung lesions the rates of pneumothorax and bleeding were 17-fold and 6-fold higher in pulmonary lesions 2 cm.
The other consideration is the safety of this invasion biopsy procedure.
Ct needle biopsy lung. Doctors cannot always tell if the nodule is lung cancer based on these types of imaging alone. Depending on the size of the nodule and your risk factors further analysis may be needed including a biopsy of the nodule. This allows the tissue within the nodule to be examined to determine if it contains cancer.
One way to obtain this tissue is to have doctors who specialize in imaging radiologists use a CT scan to guide a needle through the chest wall and into the lung. Your doctor may perform a lung needle biopsy to investigate an abnormality found on a chest X-ray CT scan or other imaging test. What Is Needle Biopsy of the Lung.
This less-invasive procedure may be preferred over surgical biopsy as it usually does not require general anesthesia. For lesions nodules and areas of abnormal tissue located within the lung your doctor may first request a chest X-ray or another imaging procedure. CT-guided core-needle biopsy of the lung in patients with hematologic malignancies is a safe and effective technique without an increase in the risk of biopsy-related bleeding complications and pneumothorax compared with fine-needle aspiration biopsy.
Needle biopsy of the lung uses imaging guidance to help locate a nodule or abnormality and remove a tissue sample for examination under a microscope. A biopsy may be necessary when imaging tests cannot confirm that a nodule is benign or a nodule cannot be reached by bronchoscopy or other methods. Needle biopsy is less invasive than surgical biopsy and may not require general anesthesia.
You will be asked to hold your breath as your healthcare provider puts the needle into your lung. You may have a fine needle aspiration biopsy FNAB or a core needle biopsy CNB. During FNAB your healthcare provider will remove cells through a thin needle and a syringe.
During CNB your healthcare provider will use a larger needle to cut out tissues. The needle will be removed. CT guided thoracic lung biopsy is a everyday important procedure undertaken in clinical radiology departments.
The majority of biopsies are in those with presumed lung cancer although a wider spectrum of pathologies in both the lung and mediastinum may be. A needle biopsy of the lung is a procedure to remove cells or tissue from your lung. You may have a fine needle aspiration biopsy FNAB or a core needle biopsy CNB.
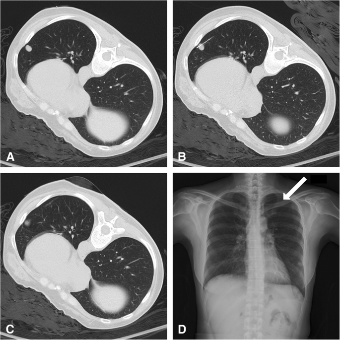
A FNAB is used to remove cells through a thin needle. CNB uses a thicker needle to remove lung tissue. This video shows the CT guided lung biopsy procedure on a female patient who presented with history of dyspnea cough and left sided chest pain.
Lung Needle Biopsy Transthoracic Biopsy You usually get this type of lung biopsy when cells cant be reached with a bronchoscopy. In the study of lung lesions tissue samples necessary for a pathomorphological assessment may be obtained by different techniques. Surgical bronchoscopic and percutaneous methods like computed tomography CT guided transthoracic needle biopsy TTNB by fine-needle aspiration biopsy FNAB or by core-needle biopsy CNB.
1 The decision to perform FNAB or CNB is multifactorial and highly. The other consideration is the safety of this invasion biopsy procedure. The common complications are pneumothorax and hemorrhage including hemoptysis or pleural effusion.
In a study of CT-guided needle biopsy for lung lesions the rates of pneumothorax and bleeding were 17-fold and 6-fold higher in pulmonary lesions 2 cm. On the other. A needle lung biopsy is performed when there is an abnormal condition that is near the surface of the lung in the lung itself or on the chest wall.
The test is usually performed to diagnose relatively large abnormalities seen on chest x-ray or CT scan. For the main procedure for lung biopsy done in lung or mediastinum using percutaneous needle we use to code 32405 code. While the guidance used with this procedure is 77012 CT guidance for biopsy procedures.
Likewise what is procedure code 10021. The biopsy needle is inserted into the abnormal tissue tumor or lung tissue. A small piece of tissue is removed with the needle.
The needle is removed. Pressure is placed on the site. A lung biopsy procedure is sometimes necessary to help diagnose a condition usually cancer.
A doctor will often recommend biopsy testing after they identify abnormalities in the chest during a. A lung biopsy removes a small piece of lung tissue that can be looked at under a microscope. The biopsy can be done in several ways.
The method used depends on where the sample will be taken from and your overall health. A lighted tool called a bronchoscope is inserted through the. A guide needle was inserted into the mass and 2 fine needle aspirations were performed.
After the fine needle aspirations 6 core biopsies were obtained. A postprocedure CT was performed.